19 mai 2025
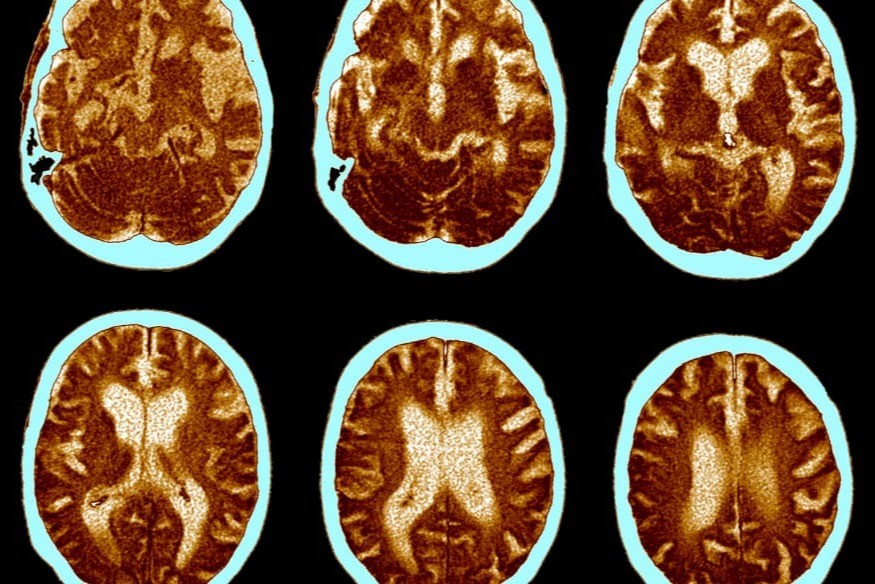
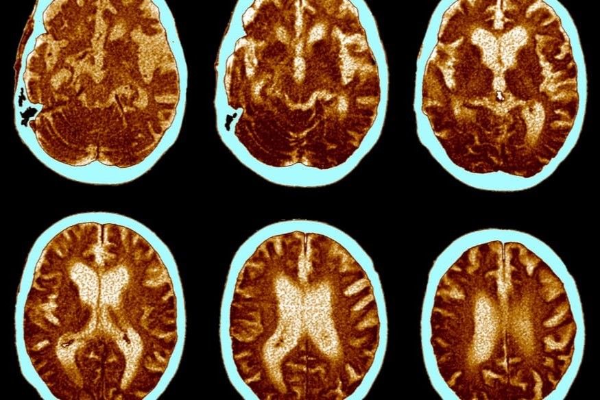
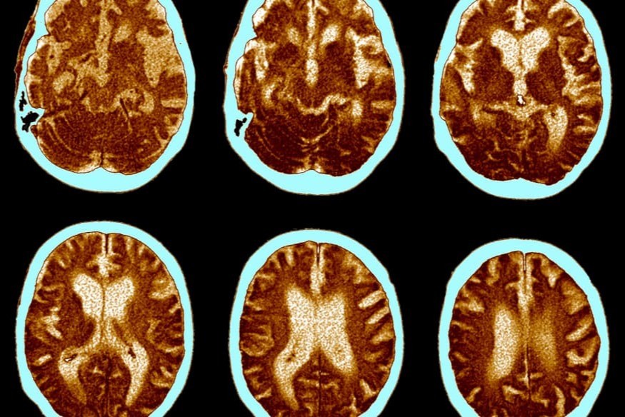
Une étude menée sur plus de 71 000 personnes montre qu’une carence en vitamine D à la naissance est liée à un risque accru de troubles mentaux ultérieurs, notamment la schizophrénie, l’autisme et le TDAH. Coordonnée par l’Université du Queensland et publiée dans The Lancet Psychiatry, l’étude repose sur les données de la cohorte danoise iPSYCH. Les chercheurs appellent à renforcer la supplémentation en vitamine D pendant la grossesse, à l’image de l’acide folique, pour prévenir les troubles neurodéveloppementaux.






%20(875%20x%20584%20px)%20(400%20x%20400%20px)%20(3)%20(2).jpg)